Utilizamos cookies para comprender de qué manera utiliza nuestro sitio y para mejorar su experiencia. Esto incluye personalizar el contenido y la publicidad. Para más información, Haga clic. Si continua usando nuestro sitio, consideraremos que acepta que utilicemos cookies. Política de cookies.

Presenta Sitios para socios Información LinkXpress hp
Ingresar
Publique su anuncio con nosotros

Deascargar La Aplicación Móvil




Eventos

02 jun 2026 - 04 jun 2026
17 jun 2026 - 19 jun 2026

TC espectral ayuda a detectar la COVID-19 en etapa temprana

Por el equipo editorial de LabMedica en español
Actualizado el 04 Nov 2020
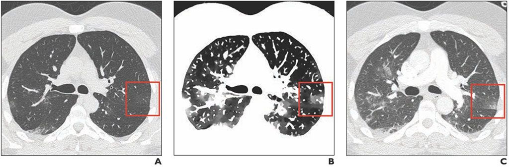
Imagen: Imagen de TC axial convencional inicial (A), imagen DE espectral que muestra claramente las lesiones GGO e imagen de TC axial convencional dos días después de las imágenes A y B (C). (Fotografía cortesía del AJR)
Imagen: Imagen de TC axial convencional inicial (A), imagen DE espectral que muestra claramente las lesiones GGO e imagen de TC axial convencional dos días después de las imágenes A y B (C). (Fotografía cortesía del AJR)
Un estudio nuevo sugiere que el uso de TC espectral con imágenes de densidad electrónica (DE) puede indicar el grado de opacidad pulmonar en vidrio esmerilado (GGO, por sus siglas en inglés) en pacientes con COVID-19 con enfermedad en estadio temprano.

Investigadores del Hospital Privado de Antony (Antony, Francia), realizaron un estudio retrospectivo para evaluar el beneficio potencial de las imágenes espectrales en la evaluación de lesiones pulmonares causadas por la COVID-19. Para ello, examinaron datos de tomografías computarizadas espectrales realizadas en cuatro pacientes con COVID-19 confirmado. Las imágenes de TC espectral se reconstruyeron utilizando el núcleo blando estándar (filtro B) y un método iterativo utilizado para capturar imágenes de TC convencionales. Luego compararon las imágenes de TC convencionales iniciales con las de seguimiento.

Las 45 GGO identificadas en los cuatro pacientes se mostraron mejor en las imágenes DE que en las tomografías computarizadas iniciales convencionales, y las tomografías computarizadas convencionales de seguimiento confirmaron la presencia de las GGO. Además, los resultados mostraron que la extensión de la lesión, evaluada mediante una escala de informe semicuantitativa que denota la afectación del área de superficie para cada lóbulo, era mucho más fácil de determinar en las imágenes DE. El estudio fue publicado el 21 de octubre de 2020 en la revista American Journal of Roentgenology.

“Las imágenes en urgencias pueden mejorar la detección de COVID-19 en etapa temprana, una etapa para la cual la TC convencional ha mostrado una sensibilidad limitada para la detección. La TC espectral también puede proporcionar una mejor evaluación de la extensión de las lesiones pulmonares”, dijo la autora principal, Beatrice Daoud, MD, del departamento de radiología. “Este estudio marca la primera vez que los investigadores han estudiado si las tomografías computarizadas espectrales pueden mejorar la capacidad de los proveedores para evaluar la extensión de las lesiones pulmonares”.

La TC espectral, también conocida como TC de energía dual, mide la atenuación del tejido en dos niveles de energía diferentes, lo que permite calcular los dos efectos físicos responsables de la atenuación de los rayos X, el efecto fotoeléctrico y la dispersión de Compton. Se pueden crear múltiples imágenes espectrales que muestren la atenuación que resultaría de una fuente de rayos X monocromática, mapas de yodo, mapas de números atómicos efectivos y mapas DE. Se ha demostrado que estos datos espectrales mejoran el realce del contraste, reducen los artefactos y caracterizan mejor los tejidos.

Enlace relacionado:
Hospital Privado de Antony

Miembro Oro
HISOPOS DE FIBRA FLOCADA
Puritan® Patented HydraFlock®
Software de laboratorio
Acusera 24•7
New
Prefilled Tubes
Prefilled 5.0ml Tubes
New
POC Immunoassay Analyzer
Procise DX

Canales

Diagnóstico Molecular

ver canal
Imagen: Evaluación de usabilidad (Yerlikaya S, Chirwa M, Ajide B, et al.; New England Journal of Medicine (2026). DOI: 10.1056/NEJMoa2509761)

Prueba molecular rápida con hisopado lingual detecta tuberculosis pulmonar en el punto de atención

La tuberculosis pulmonar sigue siendo una de las principales causas de muerte por enfermedades infecciosas en todo el mundo, provocando más de un millón de fallecimientos y más de... Más

Hematología

ver canal
Imagen: EasyM es una prueba de sangre altamente sensible que rastrea un biomarcador de mieloma llamado proteína M (crédito de la foto: 123RF)

Análisis de sangre permite la detección temprana de recaída del mieloma múltiple

Las biopsias de médula ósea siguen siendo fundamentales para diagnosticar y monitorizar el mieloma múltiple, pero el procedimiento es doloroso, invasivo y a menudo se repite con el tiempo.... Más

Inmunología

ver canal
Foto cortesía de Volición

Prueba de flujo lateral detecta biomarcadores de sepsis en el punto de atención

La sepsis sigue siendo una afección crítica en la que la evaluación rápida del riesgo a menudo se ve dificultada por la dependencia de pruebas de laboratorio centralizadas.... Más

Microbiología

ver canal
Imagen: Biosensor para la detección de tuberculosis (fotografía cortesía de la UPV)

Biosensor de antígeno detecta tuberculosis activa en una hora

La tuberculosis sigue siendo un importante desafío de salud global y continúa siendo una causa significativa de morbilidad y mortalidad. El informe mundial de 2024 de la Organización... Más
Copyright © 2000-2026 Globetech Media. All rights reserved.