Utilizamos cookies para comprender de qué manera utiliza nuestro sitio y para mejorar su experiencia. Esto incluye personalizar el contenido y la publicidad. Para más información, Haga clic. Si continua usando nuestro sitio, consideraremos que acepta que utilicemos cookies. Política de cookies.

Presenta Sitios para socios Información LinkXpress hp
Ingresar
Publique su anuncio con nosotros

Deascargar La Aplicación Móvil




Novedoso análisis de sangre detecta recurrencia del cáncer colorrectal

Por el equipo editorial de LabMedica en español
Actualizado el 19 Apr 2016
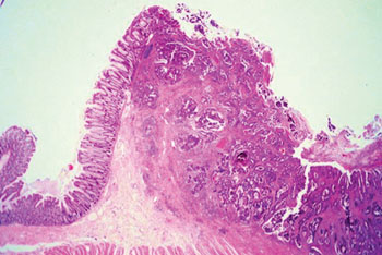
Imagen: Un estudio histopatológico de adenocarcinoma de colon compuesto por estructuras glandulares caóticas que están alineadas por una o más filas de células cancerosas con o sin producción de moco (Fotografía cortesía de la Universidad Johns Hopkins).
Imagen: Un estudio histopatológico de adenocarcinoma de colon compuesto por estructuras glandulares caóticas que están alineadas por una o más filas de células cancerosas con o sin producción de moco (Fotografía cortesía de la Universidad Johns Hopkins).
El cáncer colorrectal (CCR) es una de las principales causas de muerte por cáncer en todo el mundo, con más de 600.000 muertes cada año. Cuando se diagnostica a tiempo, antes de que el cáncer se disemine, la tasa de supervivencia relativa a cinco años para el CCR es del 90%, pero sólo alrededor de 4 de cada 10 casos de CCR se detecta a tiempo.
 
Entre los individuos sometidos a tratamiento quirúrgico para el CCR, la recurrencia se produce en el 30% al 40% de todos los casos, la mayoría de las cuales se presentan en los primeros dos a tres años tras el diagnóstico y el tratamiento inicial. Este patrón temprano y concentrado es relativamente poco común entre los tipos de cáncer, y ofrece la oportunidad para una vigilancia estructurada con el fin de poder detectar signos de recidiva.
 
Se ha desarrollado un nuevo análisis de sangre para detectar los biomarcadores de ADN metilado, específicos de tumores, que pueden fugarse de las lesiones activas al sistema circulatorio. Los datos actuales sugieren que una determinada prueba genómica para estos biomarcadores es más sensible que la prueba de antígeno carcinoembrionario (CEA) y es altamente específica. Un elemento del estándar de atención para la vigilancia post-quirúrgica, con el fin de detectar la recurrencia del CCR es la realización trimestral o semestral de la prueba de sangre para medir los niveles de CEA, que tiene baja sensibilidad y especificidad.
 
Clinical Genomics (Edison, NJ, EUA) ha anunciado nuevos datos que apoyan su análisis de sangre de 2 genes para la vigilancia post-quirúrgica de la recurrencia del cáncer colorrectal. En un estudio, los investigadores compararon la sensibilidad y la especificidad de las pruebas para el gen de la transaminasa 1 de aminoácidos de cadena ramificada metilados (BCAT1) y del gen para la familia IKAROS de Dedo de Zinc 1 (IKZF) (prueba de dos genes) con las del CEA en sangre para hacer el seguimiento de los pacientes y poder detectar la recurrencia de cáncer colorrectal después de la resección potencialmente curativa de un tumor primario. La recurrencia fue evaluada por los hallazgos clínicos y los exámenes periódicos de vigilancia mediante tomografía computarizada.
 
La presencia en la sangre de cualquiera de los dos marcadores, BCAT1 metilado o IKZF1 o el CEA elevado, fue considerado positivo para la recurrencia. Los resultados provisionales del estudio reflejan los datos de 120 pacientes con estado de recurrencia conocida (30 recurrencias confirmadas a través de imágenes u otros medios clínicos, 90 pacientes sin evidencia de recurrencia para el CRC). Las estimaciones de la sensibilidad global de recidiva fueron del 63% (19/30) para BCAT1 metilado/IKZF1 frente al 23% (7/30) para el CEA. Los cálculos de especificidad de los 90 pacientes sin evidencia de enfermedad fue del 86% para BCAT1 metilado/IKZF1, frente al 96% para el CEA. Ninguno de los casos confirmados con recidiva tenía solamente positividad en el CEA.
 
Los autores del estudio concluyeron que sus resultados demuestran que BCAT1 e IKZF1 están altamente metilados en tejido de cáncer colorrectal con bajos niveles de metilación en el tejido circundante no tumoral, lo que sugiere que estos genes metilados son altamente específicos del tumor sin un efecto de campo. La presencia de BCAT1 metilado y de IKZF1 en la sangre parece estar relacionada con la capacidad de invasión del tumor, permitiendo el acceso del tumor a la circulación sanguínea. Los estudios fueron presentados el 23 de enero de 2016 en el Simposio 2016 de Cánceres Gastrointestinales de la Sociedad Americana de Oncología Clínica (ASCO GI), celebrado en San Francisco (California, EUA). 

Enlace relacionado:
 
Clinical Genomics
 

Miembro Oro
HISOPOS DE FIBRA FLOCADA
Puritan® Patented HydraFlock®
KIT DE PRUEBA POC PARA H.PYLORI
Hepy Urease Test
New
Electrolyte Analyzer
BKE-B
New
Clinical Informatics Platform
CLARION™

Canales

Microbiología

ver canal
Imagen: La guía recomienda muestras de hisopos de lengua fáciles de recolectar y una estrategia de combinación de esputo que ahorre costos para la tuberculosis y la tuberculosis resistente a la rifampicina. (foto cortesía de OMS/Enric Catala Contreras)

La OMS respalda las pruebas rápidas en el punto de atención para mejorar la detección de tuberculosis

La tuberculosis (TB) sigue siendo una de las principales causas de muerte por enfermedades infecciosas, con más de 3.300 fallecimientos y 29.000 nuevos casos diarios. Los retrasos en el diagnóstico... Más

Industria

ver canal
Imagen: La cartera de ensayos Archer IVD de IDT se basa en la tecnología de PCR Anchored Multiplex fácil de usar (fotografía cortesía de IDT)

Integrated DNA Technologies se expande al ámbito del diagnóstico clínico

Integrated DNA Technologies (IDT; Coralville, Iowa, EE. UU.) ha anunciado el lanzamiento de Archer FUSIONPlex-HT Dx y VARIANTPlex-HT Dx. Este lanzamiento marca la primera oferta de diagnóstico in... Más
Copyright © 2000-2026 Globetech Media. All rights reserved.